Redes Sociales
PBX 
(604) 6052626


Central de citas
general
(604) 444 83 62

Chat bot
+57 4 444 83 62

Unidad de primer nivel
(604) 4032290
Línea Nueva EPS 
(604) 3220509
Línea nacional
01-800-0413829

Medicinas prepagadas, pólizas y particulares
(604) 3229161

+ Investigación

Lina Lozada, MD

Medica General, Maestrante en Epidemiología. Actualmente Medica en UCIA.

Sonia Jeanneth Jiménez Forero, MD

Medica Especialista en Urgencias, Epidemiología

versión descargable aquí

        Sonia Jeanneth Jiménez Forero, MD -  Lina Lozada, MD
            

Insuficiencia respiratoria aguda en paciente con asma grave refractaria: reporte de un caso.

 

Introducción

El asma casi fatal se define como un episodio de asma severa acompañado de insuficiencia respiratoria (IRA) tipo II (PaCO >50 mmHg) y alteración o no del estado de conciencia que requiere ventilación mecánica invasiva. Esta condición constituye una emergencia potencialmente mortal cuando no responde a las medidas convencionales.

 En estos escenarios, la severidad del broncoespasmo puede limitar la efectividad de la ventilación mecánica y aumentar el riesgo de paro cardiorrespiratorio; por lo que la terapia de oxigenación extracorpórea (ECMO) representa una alternativa terapéutica de rescate que permite el soporte respiratorio mientras se resuelve la obstrucción bronquial.

A continuación, se presenta el caso de un adulto con antecedente de asma bronquial crónica, sin adherencia al manejo ambulatorio, quien desarrolló una crisis asmática grave con IRA tipo II refractaria, requiriendo terapia con ECMO veno-venoso (VV).

Presentación del caso

Masculino de 40 años, quien cursó con clínica de 12 horas de evolución caracterizado por disnea progresiva, tos escasa no productiva y dificultad para hablar, sin respuesta al uso de broncodilatadores de rescate, magnesio y esteroide sistémico. En sitio de remisión requirió intubación orotraqueal por IRA tipo II severa refractaria que a pesar del manejo instaurado incluyendo, optimización de los parámetros ventilatorios, sedación, analgesia y bloqueadores neuromusculares, persistiendo la hipercapnia por lo que es remitido a Clínica Somer para manejo avanzado con la terapia ECMO, presentando gasometría arterial previo a inicio de terapia así: PaCO : 105.9 mmHg, PaO2: 69.6 mmHg, HCO ₃⁻ : 74.2 mmol/L, pH: 7.45 y PaFiO2 de 199.

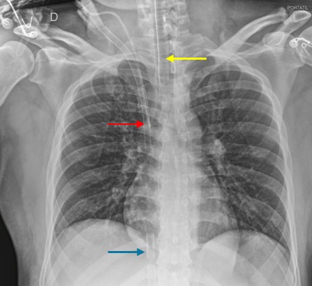
Al ingreso se realizaron estudios de imagen que evidenciaron hiperinsuflación pulmonar sin lesiones parenquimatosas en la radiografía de tórax, motivo por el cual se decidió la instauración de soporte con ECMO VV, mediante cánula de extracción femoral derecha y retorno yugular derecho (ver Figura 1).

La tomografía de tórax confirmó la ausencia de consolidaciones o alteraciones estructurales del parénquima pulmonar. Sin embargo, ante una procalcitonina de 0.6 ng/mL y la persistencia del broncoespasmo con refractariedad clínica, se realizó fibrobroncoscopia con lavado broncoalveolar con el objetivo de descartar un foco infeccioso.

El procedimiento evidenció endobronquitis generalizada inespecífica con presencia de tapones mucosos en bronquios subsegmentarios. El panel respiratorio identificó infección por virus influenza y coinfección bacteriana por Escherichia coli productora de BLEE y Staphylococcus aureus resistente a meticilina (SAMR), por lo que se inició antibioticoterapia dirigida según recomendaciones del servicio de infectología. Los hemocultivos resultaron negativos.

 


Figura 1. Radiografía de tórax tras implante de ECMO. Flecha amarilla: tubo orotraqueal. Flecha roja: cánula de retorno con sangre oxigenada. Flecha azul: cánula de drenaje de sangre no oxigenada

 

El soporte con ECMO se mantuvo durante 12 días, sin presentarse complicaciones hemorrágicas, infecciosas, neurológicas ni disfunción multiorgánica asociadas a la terapia. Durante este periodo, se evidenció mejoría progresiva de la hipercapnia y resolución del cuadro infeccioso, lo que permitió un tiempo de soporte extracorpóreo relativamente corto.

Tras la decanulación, el paciente fue extubado a las 72 horas, con patrón respiratorio adecuado y estabilidad clínica. Posteriormente, el servicio de neumología ajustó el tratamiento de asma crónica, escalonando la terapia a paso 5 según las guías GINA 2024, con la combinación de formoterol/budesonida, antileucotrienos y salbutamol de rescate, evidenciándose evolución favorable y recuperación completa.

Discusión

A pesar de los avances en el manejo farmacológico y en la atención hospitalaria, el asma grave que requiere hospitalización, continúa asociándose a una morbilidad significativa. Se estima que entre 2% y 4% de los pacientes ingresados por crisis asmática aguda requieren ventilación mecánica invasiva, con una mortalidad que oscila entre el 6,5% y el 25%.

En los casos de deterioro refractario al tratamiento convencional, las estrategias de rescate como la ECMO pueden modificar de manera sustancial el curso clínico. Esta modalidad de soporte extracorpóreo permite reducir las complicaciones derivadas de la ventilación mecánica, como el barotrauma o la lesión pulmonar inducida por la ventilación, y brinda la posibilidad de realizar procedimientos diagnósticos invasivos —por ejemplo, la broncoscopia— en condiciones de mayor estabilidad.

En el paciente presentado, la IRA tipo II severa refractaria pese al manejo ventilatorio y farmacológico multimodal justificaron el inicio de ECMO VV. Su evolución favorable, sin complicaciones y con rápida recuperación, respalda la utilidad y seguridad de esta terapia en el contexto de crisis asmáticas potencialmente mortales.

La ECMO en el asma grave está indicada como terapia de rescate en pacientes con insuficiencia respiratoria refractaria a todas las medidas convencionales, incluido el soporte ventilatorio invasivo y el tratamiento farmacológico óptimo. Las indicaciones más aceptadas según la literatura incluyen:

1.   Fracaso de la ventilación mecánica convencional, con hipoxemia o hipercapnia severas y acidosis respiratoria grave.

2.   Inestabilidad hemodinámica secundaria a hipercapnia o acidosis, no respondiente a otras intervenciones.

3.   Escenarios en los que la ventilación mecánica no permite mantener una adecuada oxigenación o eliminación de CO sin riesgo de daño pulmonar adicional, actuando la ECMO como puente hacia la recuperación.

Diversas series de casos y registros internacionales reportan que los pacientes con asma refractaria tratados con ECMO presentan tasas de supervivencia superiores al 80%, considerablemente mayores que las observadas en otras causas de insuficiencia respiratoria aguda.

Aunque no existen criterios universales absolutos para su inicio, se recomienda considerar su implementación cuando el riesgo de mortalidad o de lesión pulmonar inducida por la ventilación supera los riesgos del soporte extracorpóreo. La terapia está contraindicada en pacientes con daño pulmonar irreversible o comorbilidades graves que limiten su beneficio potencial.


Conclusión

Este caso destaca la importancia de identificar tempranamente a los pacientes con asma en riesgo de progresar a formas potencialmente fatales, en quienes la combinación de hipoxemia, hipercapnia e inflamación crónica puede generar refractariedad al tratamiento convencional.

Además de optimizar la terapia farmacológica estándar, el uso apropiado de sedación, analgesia, estrategias ventilatorias protectoras y en casos seleccionados, el soporte extracorpóreo mediante ECMO en centros especializados, representan intervenciones seguras y efectivas para corregir la hipercapnia y acidemia refractarias asociadas a broncoespasmo severo.

Lecturas recomendadas:

1. Lozano-Espinosa, M., Antolín-Amérigo, D., Riera, J., Gordo Vidal, F., Quirce, S., & Álvarez Rodríguez, J. (2023). Extracorporeal membrane oxygenation (ECMO) and beyond in near fatal asthma: A comprehensive review. Respiratory medicine, 215, 107246. https://doi.org/10.1016/j.rmed.2023.107246

2. Remmington, C., Camporota, L., Taylor, D., Sousa, A., Sanderson, B., & Glover, G. (2025). Characteristics and Outcomes of Patients Receiving Volatile Anesthetics in Near-Fatal Asthma: A Retrospective Observational Cohort Study. Critical care explorations, 7(8), e1295. https://doi.org/10.1097/CCE.0000000000001295

3. Zakrajsek JK, Min SJ, Ho PM, et al. Extracorporeal Membrane Oxygenation for Refractory Asthma Exacerbations With Respiratory Failure. Chest. 2023;163(1):38–51.

4. Yeo HJ, Kim D, Jeon D, et al. Extracorporeal Membrane Oxygenation for Life-Threatening Asthma Refractory to Mechanical Ventilation: Analysis of the Extracorporeal Life Support Organization Registry. Crit Care. 2017;21(1):297.

5. Brodie D, Slutsky AS, Combes A. Extracorporeal Life Support for Adults With Respiratory Failure and Related Indications: A Review. JAMA. 2019;322(6):557–568